Nhận đặt hàng và vận chuyển sản phẩm vật liệu trám nha khoa từ Mỹ về Việt Nam
1- Dịch vụ vận chuyển hàng bao thuế từ Pháp về Việt Nam
2- Dịch vụ vận chuyển hàng bao thuế từ Đức về Việt Nam
3- Dịch vụ vận chuyển hàng bao thuế từ Pháp về Việt Nam
4- Dịch vụ vận chuyển hàng bao thuế từ Nhật về Việt Nam.
5- Dịch vụ vận chuyển hàng bao thuế từ Hàn Quốc về Việt Nam
6 – Dịch vụ vận chuyển hàng bao thuế từ Úc về Việt Nam
7- Dịch vụ vận chuyển hàng bao thuế từ Trung quốc về Việt Nam
8- Dịch vụ vận chuyển hàng bao thuế từ Tây Ban Nha về Việt Nam
9- Dịch vụ vận chuyển hàng bao thuế từ Nga về Việt Nam
10 – Dịch vụ vận chuyển hàng bao thuế từ Anh về Việt Nam
Trám nha khoa là gì?
Trám nha khoa là một cách để khôi phục lại răng bị tổn thương bởi sự phân hủy thức ăn theo chức năng và hình dạng của nó. Khi nha sĩ cung cấp cho bạn vật liệu trám nha khoa, trước tiên nó sẽ loại bỏ các vật liệu răng bị hư hỏng, làm sạch khu vực bị ảnh hưởng, và sau đó lấp đầy răng sạch sẽ với một vật liệu làm đầy.
Bằng cách lấp kín các khoảng trống nơi mà vi khuẩn có thể xâm nhập, một chất làm đầy cũng giúp ngăn ngừa sự phân hủy sâu hơn nữa. Vật liệu dùng để trám bao gồm vàng, sứ, nhựa composite (nhựa trám răng) và amalgam (hợp kim thủy ngân, bạc, đồng, thiếc và đôi khi là kẽm).
Loại vật liệu trám nha khoa nào là tốt nhất?
Không có loại thuốc bổ nào là tốt nhất cho mọi người. Điều gì là đúng cho bạn sẽ được xác định bởi mức độ sửa chữa, cho dù bạn có dị ứng với các vật liệu nhất định, trong miệng của bạn cần trám nha khoa và chi phí trám. Các cân nhắc cho các chất liệu khác nhau bao gồm:
Việc trám bằng vàng được thực hiện theo đơn đặt hàng trong phòng thí nghiệm và sau đó đóng gói tại chỗ. Vàng trám được dung nạp tốt bởi các mô nướu và có thể kéo dài hơn 20 năm. Vì những lý do này, nhiều cơ quan chức năng coi vàng là nguyên liệu làm đầy tốt nhất. Tuy nhiên, nó thường là sự lựa chọn đắt tiền nhất và đòi hỏi nhiều lần khám lại.
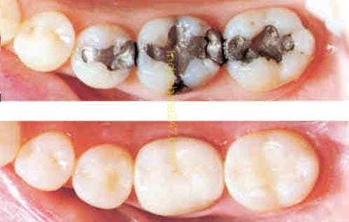
Chất trám amalgam (bạc) có tính chống mài mòn và tương đối rẻ tiền. Tuy nhiên, do màu tối của chúng, chúng dễ nhận thấy hơn là phục chế bằng sứ hoặc composite và thường không được sử dụng ở các khu vực rất dễ nhìn thấy, chẳng hạn như răng cửa trước.
Nhựa tổng hợp (plastic) được kết hợp với màu sắc giống với răng của bạn và do đó được sử dụng ở nơi mà sự xuất hiện tự nhiên là mong muốn. Các thành phần được trộn lẫn và đặt trực tiếp vào khoang miệng, nơi mà cần cứng. Vật liệu composite có thể không phải là vật liệu lý tưởng cho việc trám lớn vì chúng có thể bị mài mòn hoặc mòn theo thời gian. Chúng cũng có thể bị nhuộm màu từ cà phê, trà hoặc thuốc lá, và không kéo dài lâu như các loại chất trám khác thường từ ba đến 10 năm.
Trám bằng sứ được gọi là lớp lót hoặc lớp phủ và được sản xuất theo thứ tự trong phòng thí nghiệm và sau đó được gắn với răng. Chúng có thể được kết hợp với màu sắc của răng và chống lại sự nhuộm. Đồ sứ thường bao phủ hầu hết răng. Chi phí cũng tương tự như vàng.
Nếu sự phân rã hoặc một vết nứt đã làm hỏng một phần lớn răng, bác sỹ có thể khuyên dùng trám nha khoa. Sự suy giảm đến dây thần kinh có thể được điều trị theo hai cách: thông qua liệu pháp rễ (trong đó thần kinh bị tổn thương bị loại bỏ) hoặc thông qua một thủ tục được gọi là sự hạn chế bột giấy (cố giữ dây thần kinh sống).
Điều gì sẽ xảy ra khi bạn đi trám nha khoa?
Nếu nha sĩ của bạn quyết định lấp đầy một lỗ khoan, trước tiên họ sẽ loại bỏ các phân rã và làm sạch khu vực bị ảnh hưởng. Rửa sạch sẽ sau đó sẽ được trám đầy với bất kỳ loại vật liệu được mô tả ở trên.
Làm thế nào để tôi biết nếu tôi cần trám nha khoa?
Chỉ nha sĩ của bạn có thể phát hiện xem bạn có một khoang cần phải được làm đầy. Trong quá trình kiểm tra, nha sĩ của bạn sẽ sử dụng một tấm gương nhỏ để kiểm tra bề mặt của mỗi chiếc răng.
Bất cứ điều gì trông có vẻ bất thường sẽ được kiểm tra chặt chẽ với các dụng cụ đặc biệt. Nha sĩ của bạn cũng có thể X-quang toàn bộ miệng của bạn hoặc một phần của nó. Loại nha khoa mà nha sĩ lựa chọn sẽ phụ thuộc vào mức độ thiệt hại do sâu răng gây ra.

Bạn không muốn trả thuế hoặc giảm bớt thuế khi xuất hàng tại Mỹ, Châu Âu, Pháp, Nhật, Hàn Quốc?
Bạn muốn mua một vài sản phẩm y tế từ Mỹ nhưng không biết làm thế nào?
Bạn muốn hạn chế các thủ tục nhập khẩu và sử dụng dịch vụ vận chuyển bao thuế trọn gói từ Mỹ?
Bạn có thể yên tâm vì chúng tôi đã có kinh nghiệm vận chuyển chính ngạch hoặc hàng không bao thuế cho nhiều công ty nha khoa nổi tiếng của Việt Nam.
Dịch vụ vận chuyển sản phẩm vật liệu trám nha khoa từ Mỹ về Việt Nam
Thông thường, khi tiến hành nhập hàng, quy trình vận chuyển hàng sản phẩm vật liệu trám nha khoa như sau:
- Quý khách hàng cung cấp địa chỉ đối tác giao hàng để chúng tôi kiểm tra zone và điều xe đến lấy hàng tại cơ sở sản xuất.
- Đơn vị sản xuất thường xuất theo giá EXW và yêu cầu đại diện vận tải liên hệ lại xác nhận ngày giờ chuyển hàng.
- Đơn vị đại lý vận tải nước sở tại sẽ tiến hàng lấy hàng và book lịch bay.
- Chúng tôi sẽ hoàn thiện nốt các thủ tục thông quan tại Tân Sơn Nhất hoặc Nội bài tùy theo yêu cầu khách hàng.
- Báo lại khách hàng cân nặng, kích thước và chi phí thanh toán.
- Khách hàng thanh toán
- Xuất kho giao hàng
- Khách hàng ký nhận hàng bàn giao đầy đủ.
Quy trình thanh toán hàng nhập khẩu từ Mỹ:
Để thanh toán một lô hàng, thông thường có 3 chi phí cần khách hàng nắm vững và hiểu rõ;
- Chi phí mua sản phẩm: Mua trên web hoặc thanh toán trực tiếp cho các công ty y tế (khuyến khích khách hàng tự thanh toán)
- Chi phí mua hộ: 5-10%
- Chi phí vận chuyển từ nước ngoài về Việt Nam (khi gửi báo giá, giá vận chuyển đã bao gồm: chi phí hải quan, thuế, kiểm hóa, phụ phí….)
Số lượng hàng có thể vận chuyển:
- Hàng xách tay từ Mỹ về Việt Nam: số lượng ít, hạn chế, khả năng cung cấp dịch vụ không hoàn hảo. Hàng bị giữ lại thường xuyên và có nguy cơ mất hàng.
- Hàng air – cargo từ Mỹ về Việt Nam: thông thường hỗ trợ vận chuyển airport – airport. Có hỗ trợ khai báo đầu Việt Nam nhưng nước ngoài thì không. Nhược điểm: thuế suất thiết bị y tế tại các nước sở tại rất cao, giá nhập bị đội lên rõ rệt. Toàn bộ lô hàng phải khai báo và xin giấy phép rất phức tạp.
- Hàng không bao thuế từ Mỹ về Việt Nam: Đây là dịch vụ chuyên nghiệp công ty chúng tôi đang triển khai. Hotline: (0868.356.797). Ưu điểm: thủ tục nhanh gọn, triển khai chuyên nghiệp, hạn chế tối đa giấy tờ kèm theo và KHÔNG HẠN CHẾ SỐ LƯỢNG nhé.

Danh mục các sản phẩm y tế có thể vận chuyển:
- Implant từ Mỹ về Việt Nam.
- Sản phẩm nội nha từ Mỹ về Việt Nam.
- Mũi khoan y tế từ Mỹ về Việt Nam.
- Máy móc thiết bị y tế nhỏ từ Mỹ về Việt Nam.
- Vật liệu trám nha khoa từ Mỹ về Việt Nam.
- Vật liệu lấy dấu từ Mỹ về Việt Nam
- Cement (xi măng) từ Mỹ về Việt Nam.
- Vật liệu và dụng cụ chỉnh nha từ Mỹ về Việt Nam.
- Vật liệu sử dụng một lần trong y tế
- Thuốc tẩy trắng răng dùng trong y tế
- Dụng cụ chỉnh nha từ Mỹ về Việt Nam.
- Dụng cụ chụp dùng trong y tế từ Mỹ về Việt Nam.
Tại sao chọn Indochina247.com khi chuyển hàng từ Mỹ về Việt Nam ?
Mua đúng sản phẩm: Indochina247.com cam kết mua đúng hàng mà khách hàng đã gửi link, đúng trang web mà khách muốn mua. Đảm bảo sản phẩm đúng chất lượng và giá cả như trên các trang web Mỹ.
Nhanh chóng và tiết kiệm: Indochina247.com giúp bạn mua hộ hàng Mỹ và vận chuyển hàng về Việt Nam một cách nhanh chóng, thời gian chỉ 5-7 ngày kể từ ngày chúng tôi nhận được hàng tại văn phòng ở Mỹ.
Hỗ trợ chu đáo: Mọi thắc mắc trong thủ tục chuyển hàng chúng tôi sẽ tư vấn và hỗ trợ cụ thể nhất.
Quy trình chuyên nghiệp, tiện lợi nhất cho khách hàng:
- Khách thanh toán chi phí mua hàng cho sản phẩm: (Có hóa đơn mua hàng đi kèm)
- Khách trả chi phí mua hộ hai bên đã thỏa thuận (thanh toán trước)
- Chi phí vận chuyển chỉ thanh toán khi hàng được giao đến tay khách hàng.
Quyền lợi của khách hàng là ưu tiên số 1 của chúng tôi.
Sử dụng dịch vụ Indochina247.com, bạn sẽ được hưởng một dịch vụ tốt nhất, bạn chỉ việc ngồi tại nhà và nhận hàng về từ Mỹ.
Indochina247.com là lựa chọn đáng giá cho nhu cầu mua hộ hàng Mỹ về Việt Nam. Sử dụng dịch vụ tại Indochina247.com để được hưởng lợi ích tối đa và chất lượng tốt nhất.
Hãy liên hệ với Indochina247.com khi bạn có nhu cầu mua sắm hàng hóa Mỹ chất lượng.
Liên hệ ngay với chúng tôi:
Hotline: +84 914 858 166
Email: lienhe@indochina247.com, hoặc đặt hàng trực tiếp trên website www.indochina247.com
Ms. Dung

